Formulation and Delivery - Biomolecular
Avinash Gothwal, Ph.D. (he/him/his)
Postdoctoral Fellow
North Dakota State University
Fargo, North Dakota, United States
Jagdish Singh, Ph.D.
Department Chair
North Dakota State University
Fargo, North Dakota, United States
Takahisa Kanekiyo, M.D.
Associate Professor
Mayo Clinic
Jacksonville, Florida, United States
Fig. 1: Qualitative in-vitro transfection in bEnd.3, primary astrocytes and neurons after treating with pGFP, Exosome/pGFP, Cap-g-CS-PEN-MAN/pGFP and Exo/Cap-g-CS-PEN-MAN/pApoE2 polyplexes.
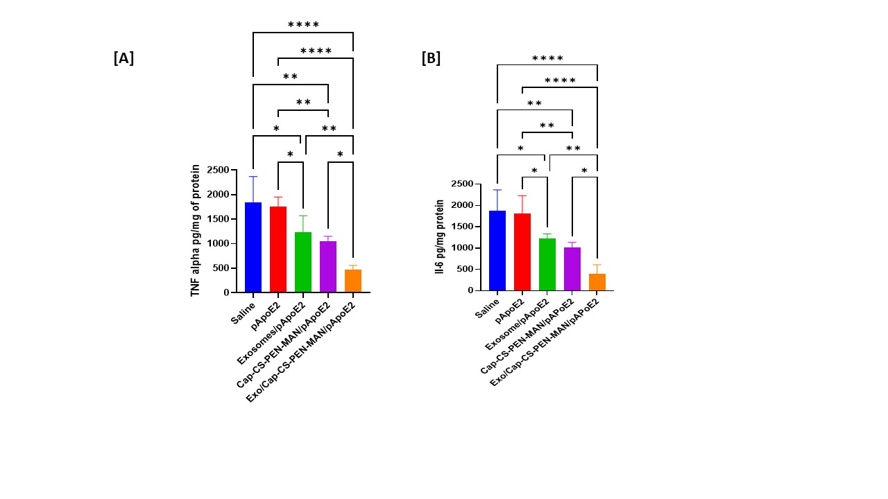
Fig 2: (A) TNF-α (B) IL-6 levels in the brains of 24 months old C57BL6/j mice after the intranasal administration of saline, pApoE2, exosomes/pApoE2, Cap-CS-PEN-MAN/pApoE2, and exosome/Cap-CS-PEN-MAN/pApoE2 polyplexes. The dosing was administered on 1st, 3rd, and 5th day; the animals were sacrificed at the 7th day after the last administration. The data is represented as mean ± SD (n=6)