Formulation and Delivery - Biomolecular
Lakshmi Tulasi Naraharisetti, MS
Ph.D. Scholar
National Institute of Pharmaceutical Education and Research
Hyderabad, Telangana, India
Lakshmi Tulasi Naraharisetti, MS
Ph.D. Scholar
National Institute of Pharmaceutical Education and Research
Hyderabad, Telangana, India
Jyothi priya Kapaka, MS
Masters student
National Institute of Pharmaceutical Education and Research
Hyderabad, Telangana, India
Aishwarya Gandhle, MS
Masters student
National Institute of Pharmaceutical Education and Research
Hyderabad, Telangana, India
Sridivya Goud Kalali, MS
Ph.D. Scholar
National Institute of Pharmaceutical Education and Research
Hyderabad, Telangana, India
Shrilekha Chilvery, MS
Ph.D. Scholar
National Institute of Pharmaceutical Education and Research
Hyderabad, Telangana, India
Karthik Mangu, MS
Ph.D. Scholar
National Institute of Pharmaceutical Education and Research
Hyderabad, Telangana, India
Chandraiah Godugu, Ph.D.
Assistant Professor
National Institute of Pharmaceutical Education and Research
Hyderabad, Telangana, India
Figure 1: Particle size (Hydrodynamic diameter) of A) AgNPs, B) NC, C) NC-PDA and D) NPD.
Figure 2: Represents visual wound appearance after treatment on day 0, 3, 14, and 21 respectively
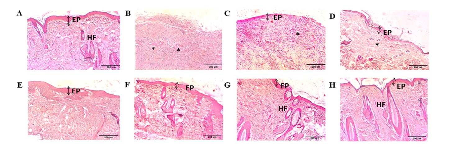
Figure 3: Photomicrographs of H&E-stained tissue sections of different study groups. Normal control group (A), Wound untreated group (B), Treated with herbal gel (C), AgNPs (D), NC (E) NC-PDA (F) NPD (G), AgNPs + NPD (H). EP indicates epithelial layer, HF indicates hair follicle, * indicates neutrophil infiltration.